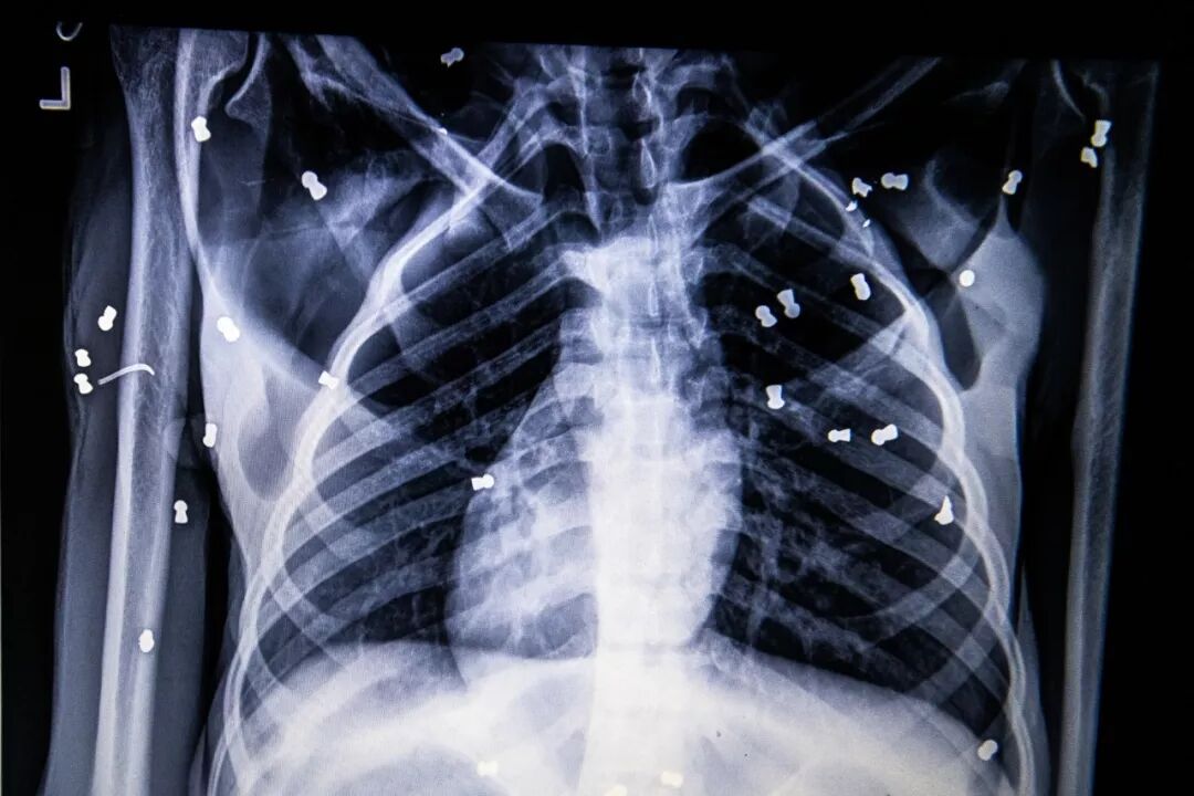
这是一位母亲的x光片,那些白点是她身体里的气步枪弹丸,右眼两颗,左眼四颗,此外还有多处骨折,被刀具刺伤。
纵然如此,她仍坚强地活下来了。
仅仅因为吃了几个果子,她就被恶意驱赶,在被气步枪射中74次后,她终于被救了。

她是一只苏门答腊红猩猩,本是世界极危物种,但她却成了最悲惨的猩猩。
没能保护自己的孩子,自己瞎了,连家园也丢了。
她居住在印尼婆罗洲岛的森林里,在这座岛上,棕榈是人们生活的唯一来源。
为了种植更多的棕榈树,森林被成片烧毁,开垦成种植园。

赖以生存的家园被破坏,她不得不和家人们从人类的领地找食物。
一次次只为活下去,却一次次被逼得无路可退。

人们无情地驱赶他们,用铁锹、长矛,甚至气枪,失去森林庇护的他们身上千疮百孔,身为妈妈的她更是被刺瞎了眼睛。
可她却丝毫不觉得疼痛,只知道又为孩子多得到了一口食,孩子又多了一份长大的希望。

贪心的村民仍不知足,几度把年幼的小猩猩抢了卖钱。
纵然再爱子心切,瞎眼的动物也终究敌不过被金钱侵蚀的人。

当被保护组织救回时,仅一个月大孩子已经奄奄一息。
他们费尽了力气,还是没能从死神手中把这孩子抢回来。

当他们发现猩猩妈妈时,倒在草丛里的她伤痕累累,直到送到医院才发现,她的身体里,遍布着74颗子弹,手和腿都严重骨折。

经过几次手术,猩猩妈妈终于活下来了,他们为她取名叫Hope。

可是她眼里早已看不见希望,心里的希望也不复存在了。
每每听见其他小猩猩的吵闹声时,总是独自走到角落哀嚎。
一个母亲的心,该如何接受孩子的离去?

我们总以为自己高于一切动物,而在生命面前,动物的爱、希望与恐惧,与人类并没有什么两样,他们就像阳光,出于同源,落于同地。
每一条生命,都应该被尊重。
编辑:李晨琰
责任编辑:唐闻佳
来源:综合自艺非凡及匠心之城