
▲BMJ发表的病例展示
卡波西肉瘤(KS)是一种具有局部侵袭性的内皮细胞肿瘤,典型病变表现为皮肤多发性斑点状、斑块状或结节状病损,也可累及黏膜、淋巴结和内脏器官。此病和人类第8型疱疹病毒(HHV-8)感染有关。根据临床和流行病学特点,KS有4种不同类型:经典惰性型、非洲地方性、医源性、获得性免疫缺陷综合征相关性。其中医源性KS发生在实质性器官移植或免疫抑制剂治疗之后数月或数年。
5月5日,复旦大学附属中山医院风湿免疫科姜林娣主任团队在全球最具影响力的四大综合类医学期刊之一的《英国医学杂志》(British Medical Journal,2019年影响因子30.223分)发表皮肤卡波西肉瘤的病例报告研究成果。该病例在评审过程中得到同行评议专家的高度赞扬与认可:他们一致认为该病例具有很好的教学意义,文章达到了教科书的级别。

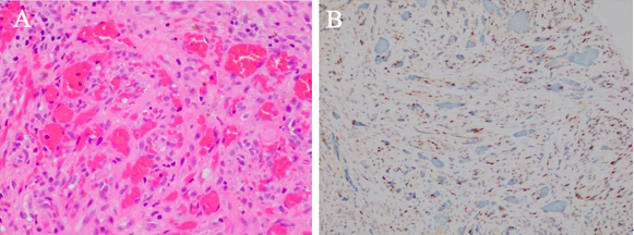
▲该病例相关的其他图片(A:HE染色;B:HHV-8组化)
文章报道的这例患者是典型的医源性KS患者,该患者1年前被诊断为皮肌炎,在糖皮质激素和环孢素A治疗的过程中,患者颜面部、四肢及躯干部出现了广泛分布的、凸起的、坚硬的、紫黑色的结节。实验室检查提示HIV阴性;胸腹部影像学检查未发现内脏器官受累。皮肤结节的病理学和免疫组化(HHV8阳性)证实了KS的诊断。患者随后停用了环孢素A且激素减到较小的剂量维持,皮肤结节逐渐消退。
免疫抑制剂引起的医源性KS主要是因为机体免疫监视能力减弱,重新激活了潜伏感染的HHV8,促进了感染的内皮细胞增殖分化和成血管特性。该病例提示,当患者在使用免疫抑制剂(包括糖皮质激素)的过程中出现这种皮疹时应考虑医源性卡波西肉瘤。
姜林娣主任为文章通讯作者,刘云医师为文章第一作者。
作者:唐闻佳
编辑:李晨琰
责任编辑:唐闻佳
图源:中山医院
*文汇独家稿件,转载请注明出处。